Casos Intervencion y Evolucion
Seccion dedicada a compartir el desarrolo de nuestros pacientitos antes y despues de su intervencion con nosotros
Contractura en rodilla
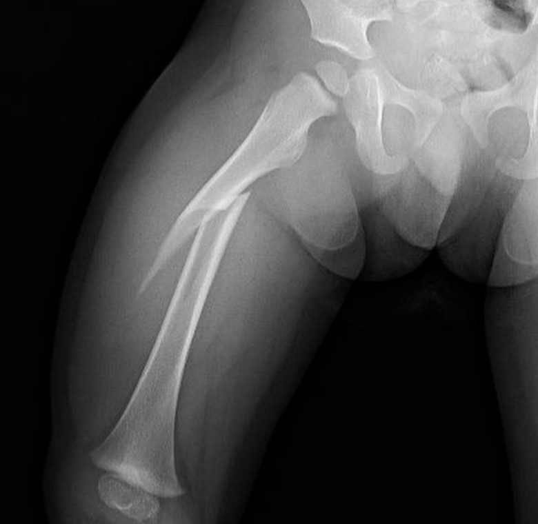
Fractura de fémur
Deformidad en pie
Polidactilia multiple
Cirugía de reconstrucción mano
Pie equinovaro bilateral
Pies planos dolorosos
Deformidad de pie
Atrogriposis con cadera luxada
Pie hendido
Pie plano limitacion actividades
Rodillas en valgo
Recostruccion de pulgar
Deformidad rodillas en valgo
Displasia de cadera
Fractura de tobillito
Fractura de su antebrazo
Ectrodactilia deformidad pie
Fractura de tibia
Deformidad en el pie / Enfermedad de Charcot
Displasia de cadera
Deformidad en el pie con previas cirugias
Rodillas en valgo
Rodillas en valgo con rótula alta
Enfermedad neurológica deformidad en pies
Polidactilia en ambos pies
Pie equinovaro con multiples intervenciones previas
Ausencia congenita del peroné